Cabinet dentaire des Docteurs LAHMI
Chirurgien-Dentiste à Romainville
ACCUEIL
LE CABINET
INFORMATIONS PRATIQUES
URGENCE
FICHES CONSEILS
VIDEOS
CONTACT
PRENDRE RDV
40 BOULEVARD EMILE GENEVOIX, 93230 Romainville
+33 1 48 45 78 65
Cabinet dentaire des Docteurs LAHMI
Chirurgien-Dentiste à Romainville
ACCUEIL
LE CABINET
INFORMATIONS PRATIQUES
URGENCE
FICHES CONSEILS
VIDEOS
CONTACT
PRENDRE RDV
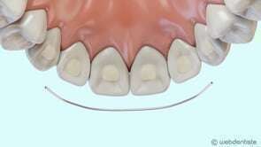
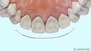
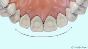
Fil de contention
Vidéos 3D
Partager
Twitter
Partager
Partager
Envoyer
Copier
Cabinet dentaire du Dr Daniel LAHMI
40 BOULEVARD EMILE GENEVOIX
93230
Romainville
+33 1 48 45 78 65
Politique de confidentialité et charte cookie
Mentions légales
Conditions Générales Utilisation
Charte déontologique
Ordre national
Annuaires chirurgiens dentistes
Honoraires & Remboursement
Hygiène & Asepsie
Création par
Connexion