Cabinet dentaire des Docteurs LAHMI
Chirurgien-Dentiste à Romainville
ACCUEIL
LE CABINET
INFORMATIONS PRATIQUES
URGENCE
FICHES CONSEILS
VIDEOS
CONTACT
PRENDRE RDV
40 BOULEVARD EMILE GENEVOIX, 93230 Romainville
+33 1 48 45 78 65
Cabinet dentaire des Docteurs LAHMI
Chirurgien-Dentiste à Romainville
ACCUEIL
LE CABINET
INFORMATIONS PRATIQUES
URGENCE
FICHES CONSEILS
VIDEOS
CONTACT
PRENDRE RDV
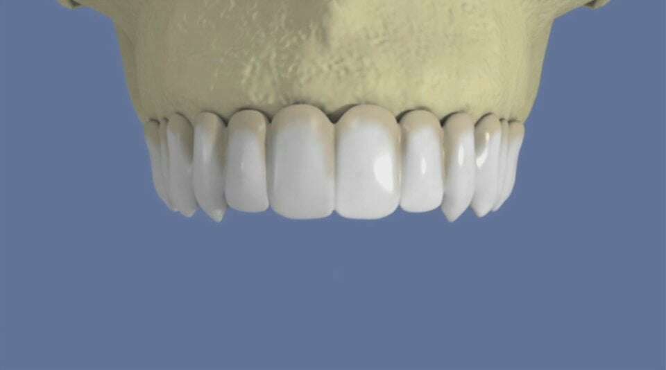
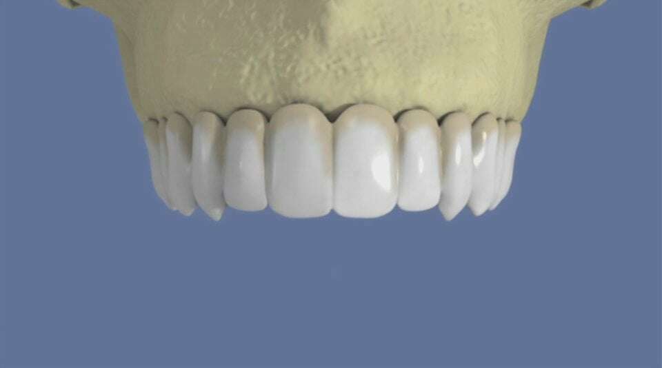
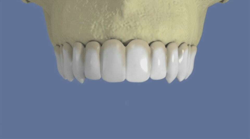
Maxillaire : bridge vissé sans fausse gencive
Vidéos 3D
Partager
Twitter
Partager
Partager
Envoyer
Copier
Cabinet dentaire du Dr Daniel LAHMI
40 BOULEVARD EMILE GENEVOIX
93230
Romainville
+33 1 48 45 78 65
Politique de confidentialité et charte cookie
Mentions légales
Conditions Générales Utilisation
Charte déontologique
Ordre national
Annuaires chirurgiens dentistes
Honoraires & Remboursement
Hygiène & Asepsie
Création par
Connexion